내가 겪은 치주염(풍치) 경험 및 후기 그리고 임플란트
내가 30대 후반부터 앓았던 치주염에 대해서 그리고, 치료과정 및 경험을 적어볼까 한다. (나의 이빨 상태, 구강상태가 아주 튼튼하지도 그렇다고 너무 안 좋지는 않은 그냥 평범한 상태에서 조금 안 좋은 편에 속함) 솔직히, 어렸을 때부터 양치질, 치실 등 치아관리에 소홀했었다. (시대의 영향도 있었겠지만 나의 첫 스케일링이라는 것도 고등학교나 돼서야 했음)

- 치주염이란
- 누운 사랑니를 빼다
- 치주염 시작 (풍치)
- 발치 및 임플란트
- 현재 그리고 후기(사견)
치주염이란, 크게 풍치에서 치은염, 치주염으로 분류하는데 해당 이빨을 감싸고 있는 잇몸에 비교적 가벼운 염증이 있는 것이 치은염이고 이건 비교적 빠르게 치료가 될 수가 있다. 더 나아가서 치주염은 치아를 감싸고 있는 즉 치아를 지탱해주는 잇몸뼈가 있는데 그 잇몸뼈인 치조골 주변까지 염증이 생기는걸 치주염이라고 한다. 이것은 뼈에까지 영향을 주기 때문에 쉽게 치료가 되지 않는다.

- 누운 사랑니를 빼다
30대 초반쯤 사랑니 때문에 조금 아파서 회사 근처의 치과를 갔었는데 엑스레이를 찍어보니 옆으로 누운 치아라여기서는 힘드니 구강내과 전문의가 있는 조금 큰 병원으로 가서 빼라고 했었다. 나름 난이도가 있는 수술이라 잘하는 곳에 가서 뺏는데 저것이 개인적으로 생각하기에 옆으로 누운 사랑니의 위치가 옆 어금니의 잇몸뼈인 치조골까지 영향을 주는 바람에 치조골이 약해진 듯했다. 참고로 치아가 있는 곳의 없어진 치조골은 생기지는 않는다.
- 치주염 시작 (풍치)
나의 경우 위의 사랑니의 영향도 조금이나마 있었겠지만 담배도 무척 많이 피었던 시기였고, 친구들과 음주도 자주 할 때였었다. 그리고 30대 초반이라 아직 젊었었으니 스케일링 등 치아관리를 잘하지 않았었다. 그러다가 결국 위의 사랑니 옆의 어금니에 치주염이 시작됐다. 처음에는 음식을 씹을 때만 조금씩 아프더니~ 피곤할 때나 간헐적으로 어금니 쪽이 욱신거렸다. 처음에는 나름 견딜만했으나, 갈수록 아프기 시작해서 치과에 방문해 잇몸치료를 하기 시작했다. 의사 선생님 말씀이 염증이 심해서 치조골 쪽이 거의 다 녹아서 치아가 흔들린다고 했다. 오래가지 않아 빠질 것이나 그래도 나름 최대한 살보 자고 하셨는데, 나름 유명한 치과를 가서 잇몸 레이저 치료까지 수시로 받았었다. 조금 괜찮아진 것 같더니~ 거의 막판에 무진장 아팠던 기억이 난다. 잇몸치료를 하고 마취가 풀리니 이건 완전 내 생에 그렇게 아팠던 적이 없었다. 그러다가 뜨거운 물, 차가운 물은 기본이고 미지근한 물이라도 마셔도 그 치아에 닷기만 하면 시리고 아팠다. 이것이 바람만 불어도 치아가 아프다는 풍치였던거 같다.

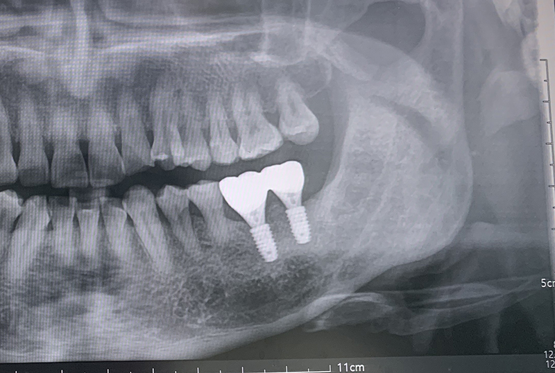
- 발치 및 임플란트
결국 발치를 하기로 결심하고 치과를 갔는데 소독을 해도, 뭔가 갔다 대기만 해도 엄청나게 아파서 결국 발치도 못 한 적이 있었고, 그 후 염증이 조금이라고 잦아들기를 며칠 기다렸다가 가서 마취하고 발치를 했다. 이것이야 말로 결국 '앓던 이가 빠졌다' 앓던 이가 빠진다는 게 예전엔 글에서나 무심결에 보고 그냥저냥 대충 넘어갔었는데 그제야 무릎을 탁 치면서 이것이 이것이구나 라는 것을 깨달은 적이 있다. 암튼 그렇게 앓던 이를 빼고 나서 세상을 다 가졌다는 기분이 들 때가 있었다.
그리고 내 기억에 6개월에서 1년 사이 정도 지나 잇몸뼈가 다시 생긴 후에 임플란트를 했다. 나의 경우 빼고 바로 뼈이식을 하지 않고 치조골이 생긴 후에 임플란트를 했다.(6개월 정도만 지나면 잇몸뼈가 생긴다고 했다.) 잇몸치료에 비해 이건 아픈 것 하나도 없다. 이미 치조골이 녹고 있다면 회복 불가하니 나처럼 고생하지 말고 그냥 바로 빼고 기다렸다가 임플란트 하는 게 제일 낫다고 본다.

- 현재 그리고 후기(사견)
그동안 치아 관리를 무척이나 신경을 썼음에도 불구하고 이제는 나이 탓인지 그래도 치은염, 치주염이 올라오곤 한다. 이건 유전자 영향도 무시 못한 듯하다. 그리고 이제는 오른쪽 제일 안쪽 어금니 치조골이 잇몸 염증에 녹아들어 가기 시작했다. 나는 몰랐는데 치과 간호사가 보더니 조금씩 녹아들어 간다고 바로 알려주더라. 그제야 알았다. 그래서 이 어금니도 나름 처음엔 괜찮다가 씹을 때도 아프다가 안 아프다가 하더니 최근 들어 피곤했던지 무진장 아팠던 적이 있었다. 바로 치과도 못 가니 진통제로 버텼었다.
하지만 버티는 것도 이제 그만~! '이제 그만 고생하자'
염증이 잦아들 때 뜸 치과 가서 치과의사와 상의 후 바로 발치하고 잇몸이 차고 난 후에 다시 임플란트를 식립 하자~! 이게 나의 경우 나름의 최선이었다. (솔직히 내 치아상태는 처음 간 치과의사보다 내가 더 잘 안다.)
겁을 주는건 아니지만 그리고 자랑은 아니지만 나름 치과에 자주 다녀서 충치치료, 신경치료, 잇몸치료, 사랑니, 발치, 임플란트 등을 해봐서 아픈 정도가 어떤지를 말해보자면 치주염, 더 나아가 풍치라면 위에 충치치료, 임플란트, 신경치료와는 비교와도 안될 정도로 풍치는 아프다.
그래서, 고생을 덜 하시라고 조금이라도 도움을 드리자면 조금 아프다고 생이빨을 바로 빼는 건 비추천이고, 나름 음식을 씹을 때도 괜찮고, 이 정도면 씹을만하다고 하다면 최대한 스케일링이나 잇몸치료, 잇몸약, 가글링 등으로 자주 하면서 관리하면 될듯하고. 위의 경우처럼 평소에도 계속 욱신거린다거나 아프다면 어차피 이정도 아픔이라면 치조골이 많이 녹아 내려앉은 경우이기 때문에 물론 사람마다 상태에 따라 잇몸과 치조골과 상태가 다르니 치과의사와 상의 후에 발치와 임플란트 하는 걸 추천드린다.
'일상다반사 > 건강' 카테고리의 다른 글
| 코로나19 화이자 백신 후기.. (2차접종 후기) (0) | 2021.11.08 |
|---|---|
| 나의 발가락 골절 이야기~ 발가락 깁스~! 반전 (2) | 2020.06.03 |
| 나의 오래된 지성 두피에서 비롯된 지루성두피염(지루성피부염 샴푸 덴드로프쿨액)이야기~! (0) | 2020.05.13 |
| 한국 의료수준은? 의료 선진국 중에..(보건안전지수, 국민건강보험 포함) (0) | 2020.04.03 |
| 저주파 마사지기 클럭 미니 , 그리고 유닉스 마사지기 (0) | 2020.01.23 |
댓글
이 글 공유하기
다른 글
-
코로나19 화이자 백신 후기.. (2차접종 후기)
코로나19 화이자 백신 후기.. (2차접종 후기)
2021.11.08 -
나의 발가락 골절 이야기~ 발가락 깁스~! 반전
나의 발가락 골절 이야기~ 발가락 깁스~! 반전
2020.06.03 -
나의 오래된 지성 두피에서 비롯된 지루성두피염(지루성피부염 샴푸 덴드로프쿨액)이야기~!
나의 오래된 지성 두피에서 비롯된 지루성두피염(지루성피부염 샴푸 덴드로프쿨액)이야기~!
2020.05.13 -
한국 의료수준은? 의료 선진국 중에..(보건안전지수, 국민건강보험 포함)
한국 의료수준은? 의료 선진국 중에..(보건안전지수, 국민건강보험 포함)
2020.04.03